Gudang Informasi

What Does Bone Cancer In The Foot Look Like / What Does Foot Cancer Look Like? | Roseville Ankle Surgeon / Or, the cause of a symptom may be a different medical condition that is not cancer.

What Does Bone Cancer In The Foot Look Like / What Does Foot Cancer Look Like? | Roseville Ankle Surgeon / Or, the cause of a symptom may be a different medical condition that is not cancer.
What Does Bone Cancer In The Foot Look Like / What Does Foot Cancer Look Like? | Roseville Ankle Surgeon / Or, the cause of a symptom may be a different medical condition that is not cancer.

What Does Bone Cancer In The Foot Look Like / What Does Foot Cancer Look Like? | Roseville Ankle Surgeon / Or, the cause of a symptom may be a different medical condition that is not cancer.. A tumor that has metastasized to bone is not made of bone cells. Bone metastasis occurs when cancer cells spread from their original site to a bone. Sometimes, people with bone sarcoma do not have any of these changes. A type of bone cancer called osteosarcoma is the most common type of primary bone cancer in dogs, accounting for over 95% of all bone tumors. Cancer in the bones of the spine can press on the nerves coming out of the spinal cord.

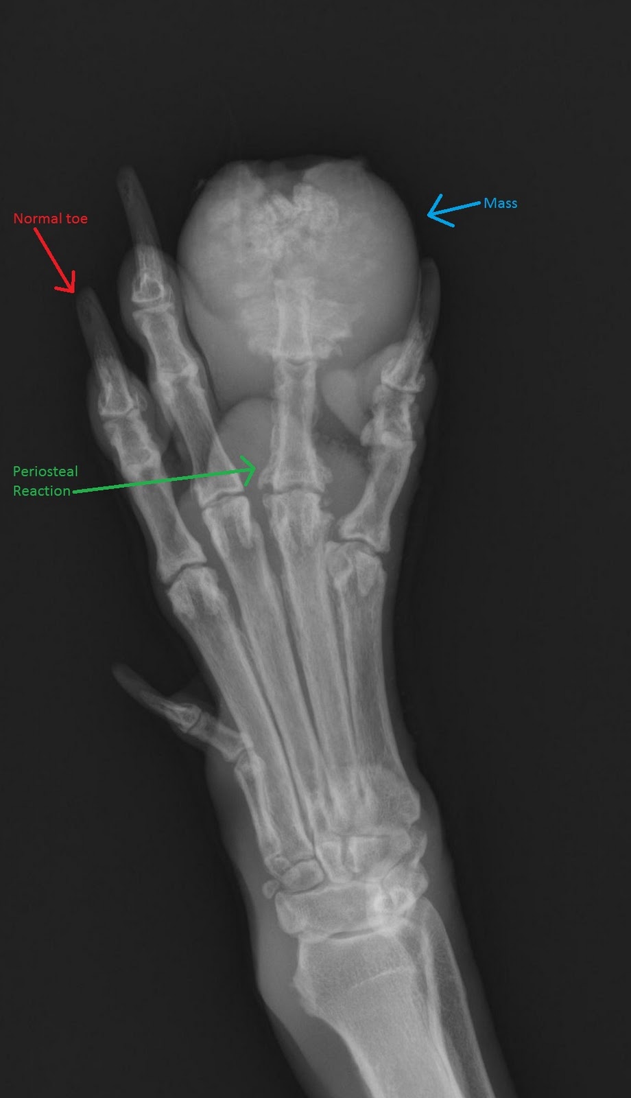
Caused by a local inflammation such as arthritis or. What does a bone spur look like? The bone pain is described as aching, throbbing, stabbing, and excruciating. Treatment for bone cancer in dogs can vary depending on which bones are affected. Bone tumors of the foot are rare, comprising only three to six percent of all bone tumors, and are benign in 75 to 85 percent of cases (sarcoma, 2013).

Pictures of Skin Cancer | MD-Health.com
Pictures of Skin Cancer | MD-Health.com from www.md-health.com
Even with bone cancers comprising less than 1% of all types of cancers, the american cancer society still estimates that 1,720 deaths from 3,200 new cases of bone cancer will occur in 2020. With such shocking statistics, keeping an eye out for possible symptoms of bone cancer is an absolute necessity. When a bone tumor grows, it presses on healthy bone tissue and can destroy it, which causes the following symptoms: What bone metastasis looks like. But some types of cancer are particularly likely to spread to bone, including breast cancer and prostate cancer. People with bone sarcoma may experience the following symptoms or signs. Whether primary or metastatic, cancer in the bones may present with symptoms such as pain, swelling, and/or a sudden intense pain from a pathologic fracture —a fracture that occurs in a bone that has been weakened by the presence of a tumor. Bone tumors of the foot are rare, comprising only three to six percent of all bone tumors, and are benign in 75 to 85 percent of cases (sarcoma, 2013).

Treatment for bone cancer in dogs can vary depending on which bones are affected.

Lumps, swellings, fractures, joint tenderness and pain are some common symptoms of bone cancer in ankle and foot. Bone metastasis occurs when cancer cells spread from their original site to a bone. There are different types of primary bone cancers, like osteosarcoma and ewing sarcoma. See foot cancer stock video clips. Bone cancer can affect any bone, but most cases develop in the long bones of the legs or upper arms. Ct scans are usually used to help form an initial bone cancer diagnosis and to see whether the cancer. Osteosarcoma, the most common bone cancer, usually happens to people ages 10 to 30 and most often starts in the arms, legs, or pelvis. Foot or toe cancer (digital and soft tissue cancer), which can include squamous cell carcinoma, melanoma, osteosarcoma, mast cell tumor, and malignant soft tissue sarcoma is common in dogs. The bone pain is described as aching, throbbing, stabbing, and excruciating. Bone metastasis can occur in any bone but more commonly occurs in the spine, pelvis. Cancer in the bones of the spine can press on the nerves coming out of the spinal cord. Bone cancer is a malignant form of cancer that begins in the bone and destroys healthy bone cells. Primary bone tumors can be either benign or malignant.

People with bone sarcoma may experience the following symptoms or signs. Ct scans are usually used to help form an initial bone cancer diagnosis and to see whether the cancer. What does a bone spur look like? To help find out if a suspicious area might be cancer to help determine if a cancer might have started in another part of the body to learn how far cancer has spread to help determine if treatment is working to look for signs that the cancer might have come back people who have or might have bone cancer will have one or more. Bone cancer symptoms and what to look out for.

Diet's Effect on Osteoporosis - Ornish Lifestyle Medicine
Diet's Effect on Osteoporosis - Ornish Lifestyle Medicine from www.ornish.com
Melanoma on the feet can also be. Persistent bone pain that gets worse over time and continues into the night swelling and redness (inflammation) over a bone, which can make movement difficult if the affected bone is near a joint This article looks closely at the types of foot melanoma and explains how to recognize the symptoms. Bone cancer can begin in any bone in the body, but it most commonly affects the pelvis or the long bones in the arms and legs. Foot melanoma is a type of cancer which affects the skin cells of the feet. Bone cancer symptoms and what to look out for. Primary bone tumors can be either benign or malignant. Bone cancer can affect any bone, but most cases develop in the long bones of the legs or upper arms.

_____american cancer society cancer.org | 1.800.227.2345 including:

This uncommon kind of cancer affects both adults and children. But some types of cancer are particularly likely to spread to bone, including breast cancer and prostate cancer. They work to destroy the tumor or slow down the growth of cancer cells. _____american cancer society cancer.org | 1.800.227.2345 including: Caused by a local inflammation such as arthritis or. It may resemble a plantar's wart or a foot ulcer, and it may feel scaly. Bone cancer can begin in any bone in the body, but it most commonly affects the pelvis or the long bones in the arms and legs. A type of bone cancer called osteosarcoma is the most common type of primary bone cancer in dogs, accounting for over 95% of all bone tumors. Cancer in bone can cause intermittent or progressively severe localized bone pain where the cancer is in the bone. Lumps, swellings, fractures, joint tenderness and pain are some common symptoms of bone cancer in ankle and foot. The bone may look ragged, or it may appear to have a hole in it. Sometimes, people with bone sarcoma do not have any of these changes. Bone cancer, like many other types of cancer, can sometimes cause weight loss and fatigue.

See foot cancer stock video clips. When a bone tumor grows, it presses on healthy bone tissue and can destroy it, which causes the following symptoms: This article looks closely at the types of foot melanoma and explains how to recognize the symptoms. Primary bone tumors can be either benign or malignant. Foot melanoma is a type of cancer which affects the skin cells of the feet.

MSK: bone cancer at University of Rochester School of ...
MSK: bone cancer at University of Rochester School of ... from classconnection.s3.amazonaws.com
Cancer in bone can cause intermittent or progressively severe localized bone pain where the cancer is in the bone. It is important that all these symptoms are identified at an early stage so, to. _____american cancer society cancer.org | 1.800.227.2345 including: Ct scans are usually used to help form an initial bone cancer diagnosis and to see whether the cancer. People with bone sarcoma may experience the following symptoms or signs. You'll often see it on your face, head, or neck. A type of bone cancer called osteosarcoma is the most common type of primary bone cancer in dogs, accounting for over 95% of all bone tumors. Foot or toe cancer (digital and soft tissue cancer), which can include squamous cell carcinoma, melanoma, osteosarcoma, mast cell tumor, and malignant soft tissue sarcoma is common in dogs.

Caused by a local inflammation such as arthritis or.

Local treatments focus on just the bone or bones where the cancer spread. Lumps, swellings, fractures, joint tenderness and pain are some common symptoms of bone cancer in ankle and foot. If detected in the early stages, foot cancer can be treated effectively. Bone tumors of the foot are rare, comprising only three to six percent of all bone tumors, and are benign in 75 to 85 percent of cases (sarcoma, 2013). _____american cancer society cancer.org | 1.800.227.2345 including: Cancer in bone can cause intermittent or progressively severe localized bone pain where the cancer is in the bone. A bone spur appears as a tiny, pointed growth on a bone, according to medicinenet. What does a bone spur look like? Primary bone tumors are relatively rare after the fourth decade of life and less frequent as compared to secondary bone tumors. In fact, noncancerous bone tumors are much more common than cancerous ones. It may resemble a plantar's wart or a foot ulcer, and it may feel scaly. Nearly all types of cancer can spread (metastasize) to the bones. Bone cancer, like many other types of cancer, can sometimes cause weight loss and fatigue.

Advertisement